Health Happening

Attend to diet, lifestyle & emotional state:

Nutrition  

Exercise

 Water

Sun

Thoughts  

     Air

Rest

Trust

Sex

Leaf logo

Health Happening    

‘No-brainers’ 💡 for Physical / Mental Health: Magnesium, Omega-3 , C, D, Iodine in “Make-it-Happen” smoothie

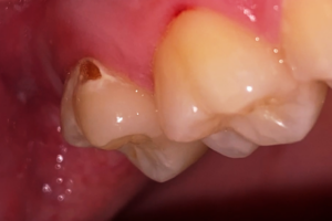
How to treat dental caries (Tooth / Bone decay)

Treatment options for tooth / bone decay

N E W  S T A R T S

Attend to Diet, Lifestyle & Emotional State

Chronic low-level inflammation

Electrotherapy

The Medical Kit of the Future

  • Detoxifies
  • Boosts immune system / cellular energy
  • Anti-inflammatory / Pain-relief
  • Aids sleep / Reduces stress
  • Accelerates healing of tissue, bone, muscles, scars
  • Improves circulation +++

Successful electrotherapies